康美醫院網站|聯系我們
内三科開展介入灌注化療爲腫瘤患者帶來福音
您現在的位置是:康美醫院網站 > 新聞動态 > 醫院動态 > 内三科開展介入灌注化療爲腫瘤患者帶來福音

内三科開展介入灌注化療爲腫瘤患者帶來福音

發布時間:2020-05-13 閱讀:3018



       近期内三科主任李旭丹與影像科副主任胡志華攜手開展DSA下灌注化療術,治療一例局部晚期胰腺癌患者,成功将高濃度化療藥物經腫瘤的供血動脈注入到腫瘤組織中。經治療後,患者恢複良好,現已順利出院。該技術能使腫瘤組織藥物濃度達到傳統治療的10倍左右,具有殺滅腫瘤組織能力強,全身毒副作用小等優點。

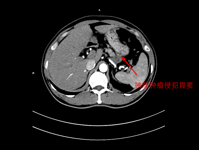
       患者陳某,男,49歲,2個月前出現中上腹隐痛不适,伴有腰背部疼痛,在當地醫院就診,考慮爲胃窦炎、胃窦黃斑瘤,治療後症狀未見好轉,遂來我院就診。
       經過檢查後,确診爲局部晚期胰腺癌,大小爲5*3cm,癌細胞已侵犯胃窦。考慮到傳統化療方式,藥物經身體多重代謝後,到達胰腺的濃度低,達不到很好殺滅腫瘤組織的效果,且對正常組織具有一定的毒副作用。爲此李旭丹主任決定給予采用DSA下介入灌注化療,得到患者及其家屬的支持。
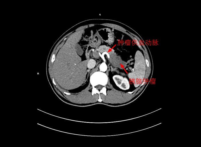
       4月30日下午,李旭丹主任與胡志華主任上台實施介入化療術,在DSA造影下,清晰可見胰腺腫瘤的供血動脈,專家們将微導管經股動脈穿刺送達瘤體的供血動脈,成功将化療藥物灌注至瘤體,順利完成手術。術後,患者症狀明顯好轉,并于5月4日順利出院。
       李旭丹主任介紹,介入灌注化療,因其能準确定位腫瘤供血動脈,将藥物直接送達瘤體,能更好殺滅癌細胞,且副作用小,在胰腺癌的治療中有着非常明顯的優勢,能爲患者赢得更多的生存機會。






醫院地址:廣東省普甯市流沙新河西路38号 郵政編碼:515300 聯系電話:0663-2787777 傳真号碼:0663-2767511

Copyright © 2011 康美醫院. All rights reserved. 京ICP證000000号醫療機構執行許可證:07190114-844528190A1001

普甯宏圖網絡